Questi specchi odontoiatrici in plastica aiutano a vedere aree difficili da raggiungere all'interno della cavità orale.
Apribocca in silicone sterilizzabile a freddo.
Materiale: Gomma di Silicone
Disinfezione ad alta temperatura di 121 Gradi Celsius
Formato Grande-Viola: 39.5 millimetri * 39.5 millimetri * 20.4 millimetri ca.
Formato medio-Verde: 34.5 millimetri * 36.5 millimetri * 17mm ca.
Formato Piccolo-Giallo: 33 millimetri * 28mm * 17mm ca.
Confezione da 1 pz.
L'apribocca Monolaterale è uno strumento professionale realizzato in plastica rigida trasparente, resistente e facilmente sterilizzabile, progettato per separare la muscolatura labiale e mantenere la bocca in posizione aperta durante valutazioni, trattamenti o riprese fotografiche intraorali.
È particolarmente utile in odontoiatria, logopedia, terapia miofunzionale e ortodonzia, dove è necessario un accesso visivo e funzionale ottimale.
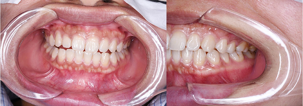
Il Divaricatore Orale Labiale è un dispositivo professionale progettato per separare delicatamente la muscolatura labiale, consentendo una visione chiara e completa della cavità orale.
Grazie alla sua forma circolare/ovale, mantiene le labbra scostate in modo stabile e confortevole, risultando particolarmente utile durante valutazioni cliniche, indagini logopediche, ortodontiche e per la documentazione fotografica dell’occlusione.
Realizzato in plastica resistente e sterilizzabile, garantisce sicurezza, durata nel tempo e facilità di igienizzazione.
Elemento di plastica resistente e sterilizzabile di forma circolare che permette di separare la muscolatura labiale per favorire l’indagine o per scattare foto dell’occlusione.
Il Divaricatore Labiale Spandex è un dispositivo in plastica resistente e flessibile, progettato per separare delicatamente la muscolatura labiale e consentire una visione chiara e completa della cavità orale.
È uno strumento indispensabile in ambito odontoiatrico, ortodontico e logopedico, ideale per l’osservazione dell’occlusione, per l’esecuzione di valutazioni cliniche e per la documentazione fotografica intraorale.
La sua forma anatomica garantisce comfort per il paziente e stabilità durante l’utilizzo, riducendo l’affaticamento muscolare e facilitando il lavoro del professionista.
Disponibile in confezzione da 3 pezzi:
- Misura L: 128mm x 58mm x 60mm
- Misura M: 106mm x 54mm x 56mm
- Misura s: 102mm x 46mm x 48mm








